2 rue Jacques Offenbach, 06000 NICE
Disponible aujourd'hui de 9h à 13h et de 14h à 18h
+33 4 93 88 14 88

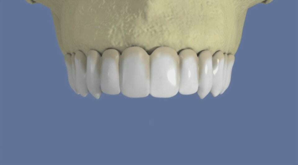
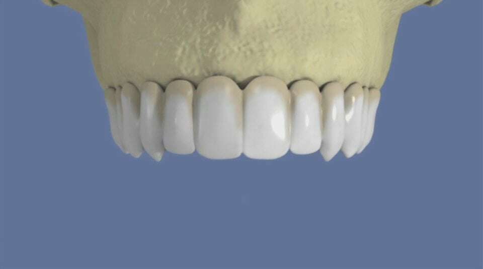
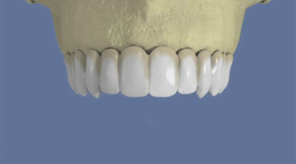
Maxillaire : bridge vissé sans fausse gencive


video-play-icon

Articles similaires

Création par Webdentiste

Connexion